陽子線治療
大腸がん術後再発
はじめに
大腸は小腸より肛門に近い部位に位置する臓器で盲腸、結腸(上行、横行、下行、S状)、直腸に大別されます。大腸がんの治療は手術手技の向上や補助療法の発達で治療成績は向上しています。しかし、手術後に局所再発する場合があり、その場合再度の手術が困難なことが多いです。
陽子線治療の適応
原発性大腸(直腸)癌切除後に組織学的もしくは臨床的に局所再発と診断され、手術適応がないことが陽子線治療適応の条件となります。なお、手術による吻合部や活動性で難治性の感染が近くにある場合は治療ができない可能性があります。
陽子線治療の方法
照射回数は病巣の部位や大きさにより変わりますが、基本は35回(7週間)です。可能な範囲で抗がん剤を併用します。腸管や膀胱などの正常臓器への照射線量を安全域まで下げて再発病巣に照射します。正常臓器を温存しつつ再発病巣に高線量を投与するためにスペーサーを留置する可能性があります。
当センターの治療方法の特長
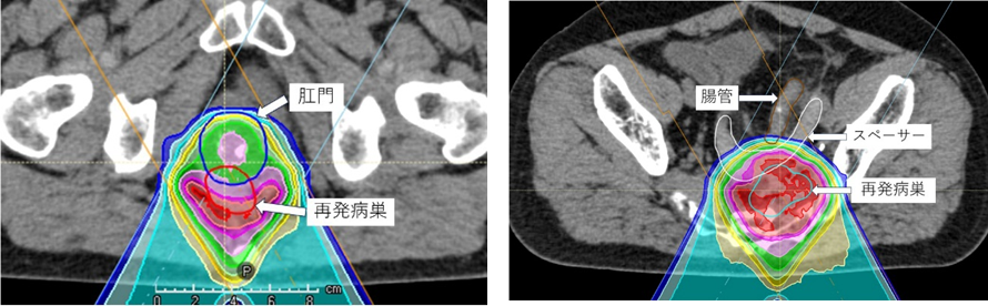
スキャニング照射により正常臓器への線量を可能な限り低下することが可能です。これにより副作用を極力抑えることができます。下図左はスキャニング照射技術により肛門への線量を抑えつつ再発病巣に高線量を投与した症例の線量分布図です。経験豊富な施設との医療連携によりスペーサー留置を安全かつスムーズに行うことができます。下図右はスペーサー留置により腸管への線量を抑えつつ再発病巣に高線量を投与した症例の線量分布図です。骨軟部腫瘍のページでもスペーサー留置症例に関して紹介していますので、ご参照ください。
