陽子線治療
頭頸部がん
はじめに
頭頸部がんとは、耳鼻科領域(おおよそ顔面~頸部)にできるがんのことです。色々なタイプ(組織型)のがんができますが、90%以上が扁平上皮がんでそれ以外をまとめて非扁平上皮がんと呼びます。
治療法としては、まずは手術を検討しますが、難しい場合は放射線治療や薬物療法を行います。扁平上皮がんには放射線治療や薬物療法が効くことが多いですが、非扁平上皮がんの中にはあまり効かないものもあります。手術ができたとしても取り切れなかった場合は放射線治療を追加します(術後照射と言います)。
陽子線治療の適応
陽子線治療が行われることが多い部位は、副鼻腔(上顎洞、篩骨洞など)、鼻腔、上咽頭、耳下腺、涙腺などです。組織型は、腺様嚢胞がん、悪性黒色腫(粘膜)、嗅神経芽細胞腫、腺がんなどの非扁平上皮がんが多くなっています。
陽子線治療が保険診療になるか先進医療になるかは下の表をご参照下さい。
| 部位/組織型 | 扁平上皮がん | 非扁平上皮がん |
|---|---|---|
| 口腔・咽頭・喉頭 | 先進医療 | 保険診療 |
| 口腔・咽頭・喉頭以外 | 保険診療 | 保険診療 |
陽子線治療の方法
部位・組織型にかかわらず、ほとんどの場合、70.4Gy(RBE)/32回で治療しています。
術後照射の場合、66Gy(RBE)/33回になります。
薬物療法を併用する場合、連携病院で薬物療法を行いながら陽子線治療を行います。
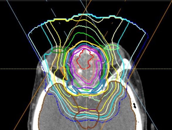
当センターの治療方法の特長
重要な臓器が密集している頭頸部のがんに特に有用と言われているスキャニング照射が使えますので、きめ細かな治療が可能です。
下に篩骨洞がんに対するスキャニング照射の線量分布を示します。眼球・視神経・脳といった重要臓器に囲まれた非常に治療の難しい部位ですが、腫瘍の形に沿った無駄のない照射となっています
