陽子線治療
膵臓がん
はじめに
膵臓がんは、日本では男性で6番目、女性で6番目の罹患率(2021年度全国がん登録)です。一方、死亡数では男性で4番目、女性で3番目(2023年度全国がん登録)と予後の悪い代表的疾患です
陽子線治療の適応
膵臓癌は大きく分けると、その病巣範囲により「切除可能」、「切除可能境界」、「切除不能(局所進行)」、「切除不能(遠隔転移)」の4つに分類されます。「切除可能」は原則外科切除が第一選択になり、「切除不能(遠隔転移)」は抗がん剤などを使った全身薬物療法が適応となります。陽子線を含めた放射線治療は、その間の「切除可能境界」、「切除不能(局所進行)」が適応になります。薬物療法と薬物を併用した放射線療法については過去にいくつかの比較試験が行われ、優劣はついていません。しかし、その後、薬物療法ではFOLFIRINOXやゲムシタビン塩酸塩+ナブパクリタキセル(GnP)などの強力な薬剤が開発され、薬物療法の第一選択とされています。したがって、当センターではこれらの強力な薬物療法に対して不応(効果がない)、不耐(副作用などで継続できない)、拒否(本人が受けたくない)の場合を基本的な適応としています。
手術により根治的な治療が困難なものに限り保険適用となっています。
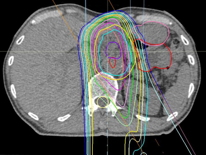
陽子線治療の方法
膵臓がんの治療の照射線量は原則67.5 Gy(RBE)/25回です。通常は45-50 Gy(RBE)の照射と17.5-22.5 Gy(RBE) の照射を組み合わせる方法で治療を行っています。模式図で説明します。50 Gy(RBE)は病変をしっかりとカバーするように照射します(赤線)。50 Gy(RBE)は消化管が許容できる線量なので胃腸に部分的に照射されてもほとんど影響ありません。次に17.5 Gy(RBE)を胃腸に当たらない(表面が0 Gy(RBE))ように照射します(青線)。交わった斜線の領域が67.5 Gy(RBE)となります。離れるにつれ線量が下がり、ともに胃腸の表面が50 Gy(RBE)となります。図にお示ししますように膵臓がんの病変が胃腸から離れるほど高線量の投与が可能になります。
また、膵臓がんの病変が胃腸に囲まれていてリスクが高い場合は無理せず50 Gy(RBE)で終了にする場合もあります。また、可能な範囲で抗がん剤を併用します。
実際の線量分布の例を下に示します。水色の線が病変の範囲、内側のオレンジの線が67.5 Gy(RBE)の95%(64.1 Gy(RBE))が照射されている範囲。右方の赤やピンクの線が胃腸です。
効果と副作用
全国の粒子線レジストリー解析(2021年版)では、切除不能(局所進行)膵臓がんの2年生存率38.8%、平均生存期間20か月と報告されています。副作用は胃腸の潰瘍、出血のリスクがありますが、上記に示すように消化管が許容できる線量の範囲で治療を行います。
当センターの治療方法の特長
膵臓近傍に微小な金属マーカーを留置します。また、胆管内のステントを金属マーカーの代用とする場合があります。ほかは、肝細胞がんとおおむね同様ですので、肝細胞がんの頁をご覧ください。
